マウスピース型矯正 症例
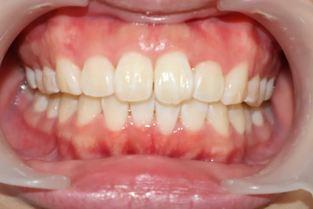
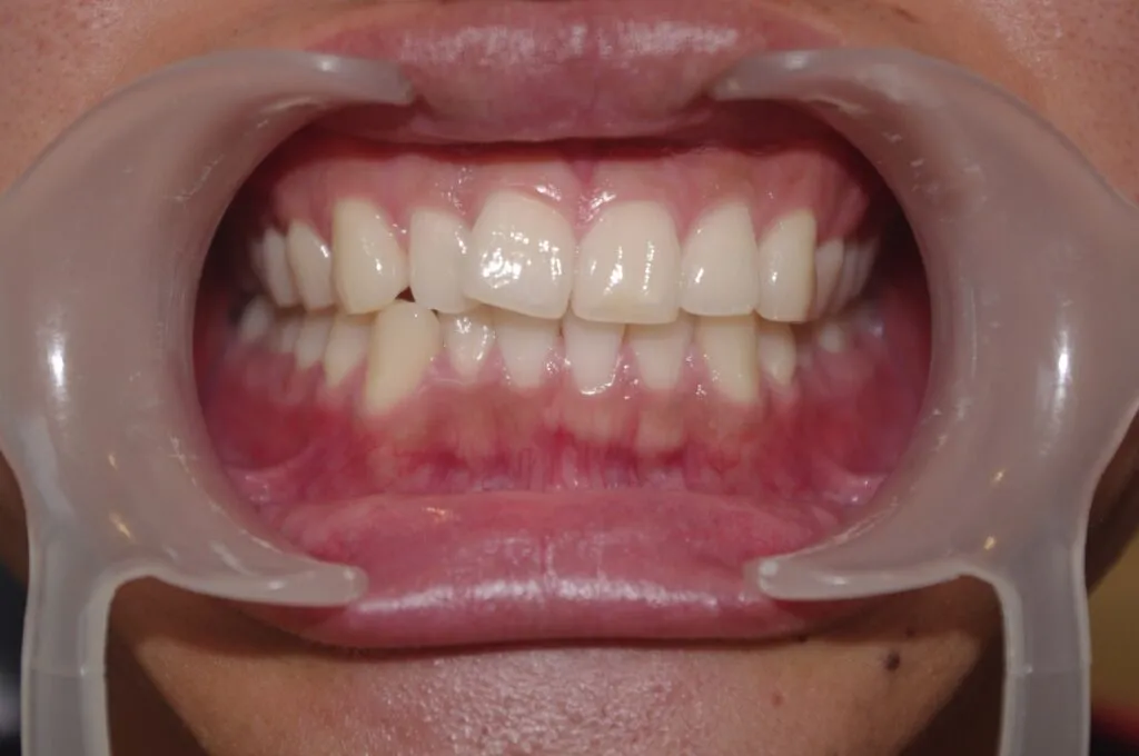
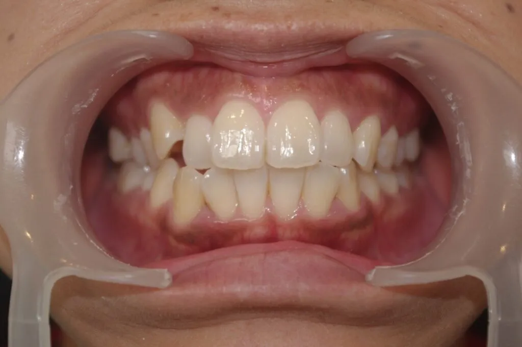
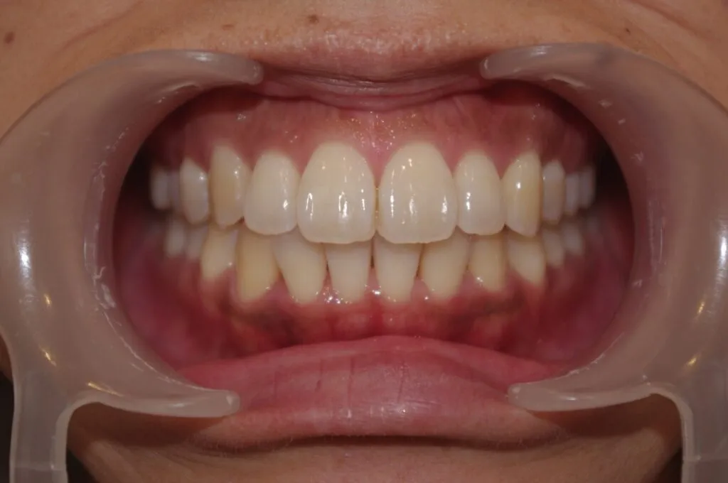
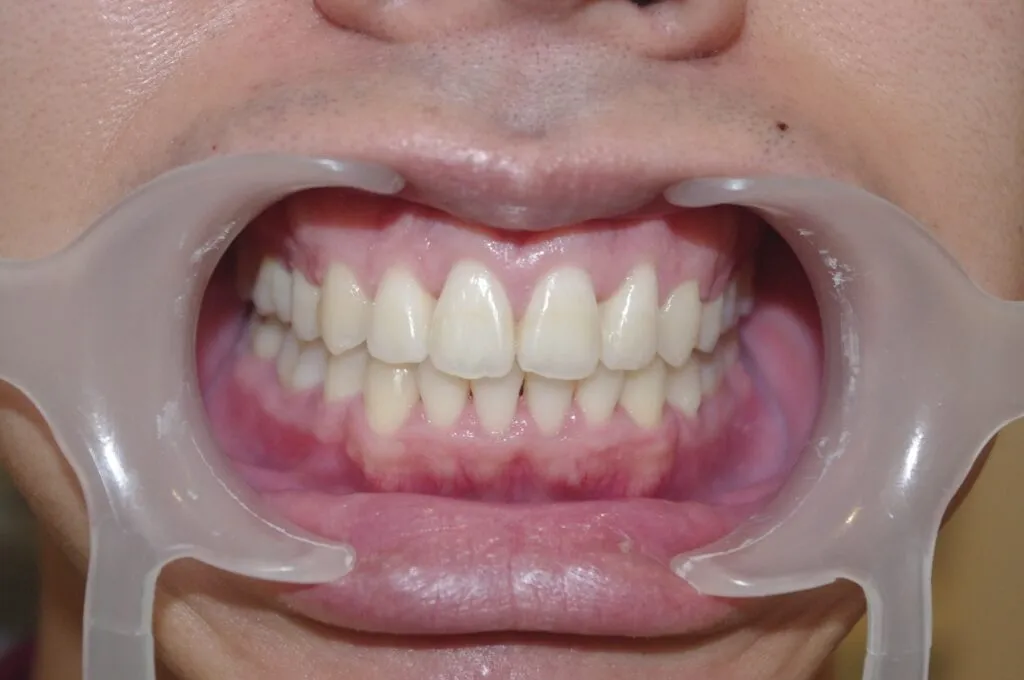
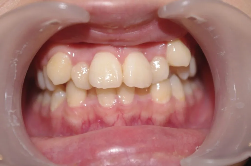
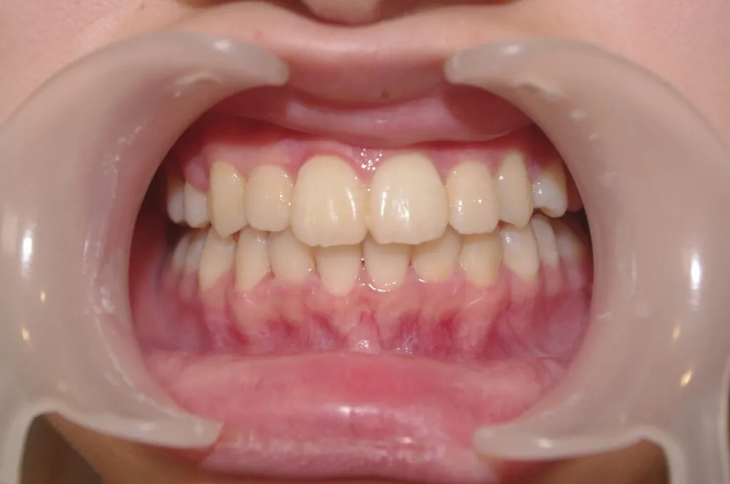
デコボコ(叢生)の非抜歯の症例
before

after

before
after


| 主訴 | 治療内容 | 治療期間 | 通院回数 | 料金 |
|---|---|---|---|---|
| 叢生 (そうせい) | マウスピース型矯正 (非抜歯) | 1年10ヶ月 | 1か月に1回程度 | 66万円(税込) |
リスク・副作用
※マウスピースの装着時間が不足すると、予定通りに歯が動かないことがあります。
※矯正治療後に歯が後戻りする可能性があるため、保定装置(リテーナー)の使用が必要です。
※装置による違和感や、発音しづらくなることがあります。
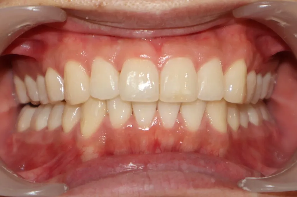
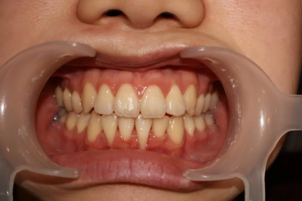
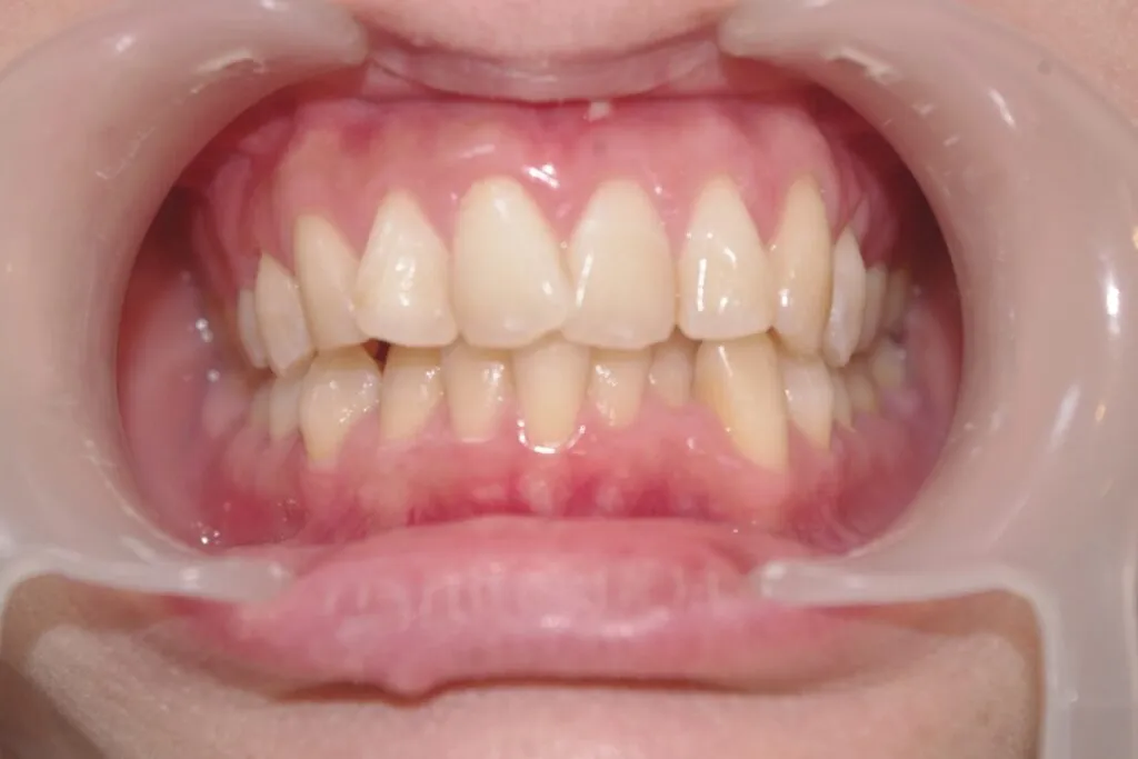
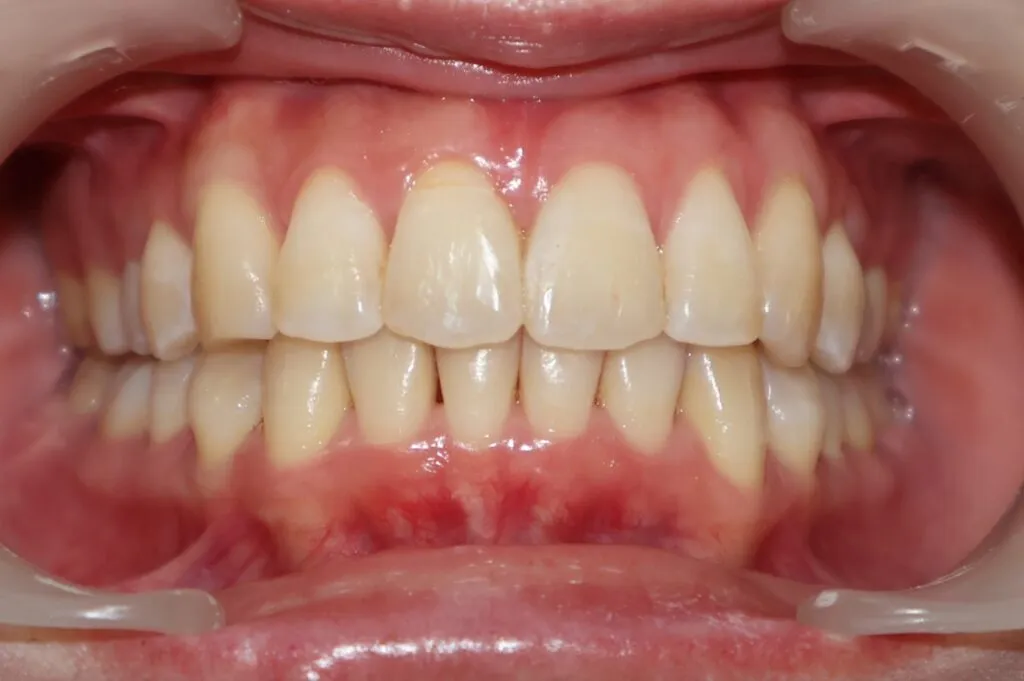
デコボコ(叢生)の非抜歯/側方拡大の症例
before

after

before
after


| 主訴 | 治療内容 | 治療期間 | 通院回数 | 料金 |
|---|---|---|---|---|
| 叢生 (そうせい) | マウスピース型矯正 (非抜歯/側方拡大) | 1年 | 1か月に1回程度 | 66万円(税込) |
リスク・副作用
※マウスピースの装着時間が不足すると、予定通りに歯が動かないことがあります。
※矯正治療後に歯が後戻りする可能性があるため、保定装置(リテーナー)の使用が必要です。
※装置による違和感や、発音しづらくなることがあります。
出っ歯(上顎前突)の非抜歯/前歯部遠心移動の症例
before

after

before
after


| 主訴 | 治療内容 | 治療期間 | 通院回数 | 料金 |
|---|---|---|---|---|
| 上顎前突 (じょうがくぜんとつ) | マウスピース型矯正 (非抜歯/前歯部遠心移動) | 1年 | 1か月に1回程度 | 66万円(税込) |
リスク・副作用
※マウスピースの装着時間が不足すると、予定通りに歯が動かないことがあります。
※矯正治療後に歯が後戻りする可能性があるため、保定装置(リテーナー)の使用が必要です。
※装置による違和感や、発音しづらくなることがあります。
デコボコ(叢生)の上下顎第一小臼歯抜歯の症例
before

after

before
after


| 主訴 | 治療内容 | 治療期間 | 通院回数 | 料金 |
|---|---|---|---|---|
| 叢生 (そうせい) | マウスピース型矯正 (上下顎第一小臼歯抜歯) | 2年6ヶ月 | 1か月に1回程度 | 66万円(税込) |
リスク・副作用
※マウスピースの装着時間が不足すると、予定通りに歯が動かないことがあります。
※矯正治療後に歯が後戻りする可能性があるため、保定装置(リテーナー)の使用が必要です。
※装置による違和感や、発音しづらくなることがあります。
デコボコ(叢生)の非抜歯/側方拡大の症例
before

after

before
after


| 主訴 | 治療内容 | 治療期間 | 通院回数 | 料金 |
|---|---|---|---|---|
| 叢生 (そうせい) | マウスピース型矯正 (非抜歯/側方拡大) | 1年6ヶ月 | 1か月に1回程度 | 66万円(税込) |
リスク・副作用
※マウスピースの装着時間が不足すると、予定通りに歯が動かないことがあります。
※矯正治療後に歯が後戻りする可能性があるため、保定装置(リテーナー)の使用が必要です。
※装置による違和感や、発音しづらくなることがあります。
ワイヤー矯正 症例
デコボコ(叢生)の非抜歯/側方拡大の症例
before

after

before
after


| 主訴 | 治療内容 | 治療期間 | 通院回数 | 料金 |
|---|---|---|---|---|
| 叢生 (そうせい) | ワイヤー矯正 (側方拡大) | 11ヶ月 | 1か月に1回程度 | 66万円(税込) |
リスク・副作用
※矯正治療後に歯が後戻りする可能性があるため、保定装置(リテーナー)の使用が必要です。
※装置による違和感や、発音しづらくなることがあります。
出っ歯(上顎前突)の上下顎第一小臼歯抜歯の症例
before

after

before
after


| 主訴 | 治療内容 | 治療期間 | 通院回数 | 料金 |
|---|---|---|---|---|
| 叢生 (そうせい) | ワイヤー矯正 (上下顎第一小臼歯抜歯) | 2年6ヶ月 | 1か月に1回程度 | 66万円(税込) |
リスク・副作用
※矯正治療後に歯が後戻りする可能性があるため、保定装置(リテーナー)の使用が必要です。
※装置による違和感や、発音しづらくなることがあります。
デコボコ(叢生)の上下顎第一小臼歯抜歯の症例
before

after

before
after


| 主訴 | 治療内容 | 治療期間 | 通院回数 | 料金 |
|---|---|---|---|---|
| 叢生 (そうせい) | ワイヤー矯正 (上下顎第一小臼歯抜歯) | 2年6ヶ月 | 1か月に1回程度 | 66万円(税込) |
リスク・副作用
※矯正治療後に歯が後戻りする可能性があるため、保定装置(リテーナー)の使用が必要です。
※装置による違和感や、発音しづらくなることがあります。